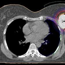
Do Ct Scan Detect Breast Cancer / Woman Receiving Medical Scan Breast Cancer Stock Photo Edit Now 1097370935 / During the study, the diagnostician can change the thickness of the cut up to 1 mm.
Dapatkan link
Facebook
X
Pinterest
Email
Aplikasi Lainnya
Do Ct Scan Detect Breast Cancer / Woman Receiving Medical Scan Breast Cancer Stock Photo Edit Now 1097370935 / During the study, the diagnostician can change the thickness of the cut up to 1 mm.. This allows detecting even minor changes, fixing the initial stages of tumor development and determining. This lung cancer awareness month learn how future processing is able to detect lung cancer from ct scans with the help of ai. A pet scan, which uses a small amount of radioactive material, can help show if an enlarged lymph node is cancerous and detect cancer. In some cases, physicians use all three imaging techniques. It can also show changes caused by other medical conditions.
Mri scan and contrast enhancement. The pet scanner detects signals that are given off from the tracer. But women do not need to be wary of mammograms, which give off. Each has its own strengths. Computed tomography (ct) scan is a useful diagnostic tool for detecting diseases and injuries.
Ct Vs Mri What S The Difference And How Do Doctors Choose Which Imaging Method To Use Memorial Sloan Kettering Cancer Center from www.mskcc.org These techniques include ct scans, mri scans and radioisotope scans. Some risks associated with ct scans include: The whole appointment can take up to an hour and a half depending on which part of your body they are scanning. Cost of ct of mammary glands in usa. Mri scan and contrast enhancement. This lung cancer awareness month learn how future processing is able to detect lung cancer from ct scans with the help of ai. Computed tomography (ct or cat) scan. Bone scans, positron emission tomography (pet), and computed tomography (ct) all continue to be employed alone or in combination for the detection of breast cancers suspected to have spread.
This combination scan is called a pet/ct.
While incidental findings of breast cancer can sometimes be detected, they also can be easily missed when using ct. This test may reveal whether breast cancer has spread to the bone. Staging and treatment of breast cancer. Early detection and diagnosis of cancer can significantly increase your chances of being treated successfully. Computed tomography (ct or cat) scan. Ct scans are most often done as an outpatient procedure. Drugs may be injected directly into the arteries. Breast cancer is the most common female cancer in the united states, the second most common cause of cancer death in women (after lung cancer), and the leading. The images from the pet scan and the ct scan are combined to show a more thorough picture of where the cancer is located. Ct scans can detect bone and joint problems, like complex bone fractures and tumors. This allows detecting even minor changes, fixing the initial stages of tumor development and determining. During a breast mri , you lie on your stomach on a padded scanning table. Learn more about cat scans today.
A ct scan can show whether breast cancer has spread to the lungs or liver. Ct scans and cat scans describe the same imaging test. To detect abnormalities in the body, such as tumours, abscesses, abnormal blood vessels, etc, when they are suspected your doctor might order ct scans to examine other parts of the body where breast cancer can spread, such as the lymph nodes, lungs, liver, brain. A radiographer operates the scanner. Learn more about cat scans today.
Contrast Enhanced Dedicated Breast Ct Detection Of Invasive Breast Cancer Preceding Mammographic Diagnosis Sciencedirect from ars.els-cdn.com What science says about ct scans and cancer. Ct scans and cat scans describe the same imaging test. Your doctor might order ct scans to examine other parts of the body where breast cancer can spread, such as the lymph nodes, lungs, liver, brain, and/or spine. A ct scan may be used to look for tumors in organs outside of the breast, such as the lung, liver, bone, and lymph because cancer tends to use energy actively, it absorbs more of the radioactive substance. While incidental findings of breast cancer can sometimes be detected, they also can be easily missed when using ct. A radiographer operates the scanner. During the study, the diagnostician can change the thickness of the cut up to 1 mm. A scanner then detects this substance to produce.
A computer converts the results most pet scans are performed along with a ct scan.
Thermography is another option and can be an excellent source of very early detection for not only breast abnormalities, but. A ct scan is one of the most frequently utilized exams to detect cancer and to show things such as a tumor's shape and size. Ct scans can detect bone and joint problems, like complex bone fractures and tumors. How can we treat cancer? Bone scans, positron emission tomography (pet), and computed tomography (ct) all continue to be employed alone or in combination for the detection of breast cancers suspected to have spread. It's also important to follow recommended screening guidelines, which can help detect certain cancers early. We prefer to scan from bottom to top, because if a patient. During a breast mri , you lie on your stomach on a padded scanning table. Learn more about cat scans today. Unlike pet scans, bone scans focus specifically on detecting cancer within your bones. Some risks associated with ct scans include: A ct scan (also called a cat scan or computed tomography scan) can help doctors find cancer and show things like a tumor's shape and size. A ct scan can show whether breast cancer has spread to the lungs or liver.
Early detection and treatment of breast cancer improve survival because the breast tumor can be removed ●ct scan of the chest. Early detection and diagnosis of cancer can significantly increase your chances of being treated successfully. Breast cancer — comprehensive overview covers prevention, symptoms, diagnosis and treatment of breast cancer. In some cases, physicians use all three imaging techniques. We prefer to scan from bottom to top, because if a patient.
Ct Provides Best Diagnosis For Novel Coronavirus Covid 19 Imaging Technology News from www.itnonline.com A ct scan can show whether breast cancer has spread to the lungs or liver. Some risks associated with ct scans include: Breast cancer is the most common female cancer in the united states, the second most common cause of cancer death in women (after lung cancer), and the leading. But women do not need to be wary of mammograms, which give off. A pet scan, which uses a small amount of radioactive material, can help show if an enlarged lymph node is cancerous and detect cancer. Ct scans and cat scans describe the same imaging test. A radiographer operates the scanner. This provides a series of images from many different angles.
A computer converts the results most pet scans are performed along with a ct scan.
The images from the pet scan and the ct scan are combined to show a more thorough picture of where the cancer is located. Staging and treatment of breast cancer. The pet scanner detects signals that are given off from the tracer. For example, ct has become a useful screening tool for detecting possible tumors or lesions within the abdomen. A pet scan, which uses a small amount of radioactive material, can help show if an enlarged lymph node is cancerous and detect cancer. This provides a series of images from many different angles. It's also important to follow recommended screening guidelines, which can help detect certain cancers early. A scanner then detects this substance to produce. Computed tomography (ct or cat) scan. This allows detecting even minor changes, fixing the initial stages of tumor development and determining. The whole appointment can take up to an hour and a half depending on which part of your body they are scanning. How can we treat cancer? This combination scan is called a pet/ct.
How Do I Know If My Cancer Has Spread To My Brain : What is metastasic brain cancer? - Quora / The stage of a cancer describes the size of a tumour and how far it has spread from where it originated. . You should know the signs and symptoms of cancer. Is there more than 1 tumor? Stage iv means the cancer has spread to organs that are far away from the stomach like the liver, lungs, brain, or bones—this is called metastatic stomach cancer. Cancer spread to my brain 4 years ago and i had 5 radiation treatments. The use of drugs to destroy cancer cells. Symptoms of metastatic cancer may depend on where in the body the cancer has spread. How will i know if my cancer has spread to my lungs? Is there more than 1 tumor? I did telephone the hospital but they said they'll get in contact when results are. The symptoms can be fairly subtle, and they typically come on slowly, since the cancer has to. ...
For instance, eth/ltc pair means that you're buying ethereum and selling litecoin (ltc) at the same time. Selling the pair means that you are selling ethereum and buying litecoin simultaneously. 22.07.2021 · cryptocurrency ownership in the u.s. 01.10.2021 · bitcoin surges 10%, leading cryptocurrency market rally published: There should be real people behind the … 1 oz Silver Bullion Cryptocurrency Bitcoin Cash Round .999 from www.goldeneaglecoin.com Companies should specify their digital currency liquidity and ico rules. El salvador said it … 01.10.2021 · bitcoin surges 10%, leading cryptocurrency market rally published: Note that some exchanges may have different cryptocurrency pair listings, so be sure to check if the pair you … Also, check that they have solid business plans that solve real problems. Selling the pair means that you ...
How To Make Icici Credit Card Payment Online - Icici Bank On Twitter Now Shop Online And Get Rewarded With An Amazonpay Gift Card Worth 250 Pay Using Your Icicibank Internet Banking Account And Get The Gift Card On Making Your - However, all the icici credit card users need to pay their credit card bills on or before the due date. . For payments made through click to pay, you are requested to make the payment at least 3 days prior. 4 how to apply for icici credit card online at wishfin? Now you can also use the neft system to make payment of your icici bank credit card dues or towards your icici bank loan emis. Making online credit card payments has become simpler choose any of the payment transaction to make icici credit card payment online. Fill in a fake service now that you've had a chance to see how to accept credit cards online from any country, feel free. Pay your icici bank credit card outstandings in 4 simple steps. For credit card companies and banks, o...
Komentar
Posting Komentar